然而,2009 年 3 月的那個清晨,當趕早高峰的蘇珊娜·卡哈蘭(Susannah Cahalan)感覺世界變得更明亮、喧囂,以及讓她感到些許痛苦時,不曾料到此后的一個月,自己將會墜入徹底失控和痛苦的腦炎深淵。
黑暗的一個月
卡哈蘭是《華盛頓郵報》的記者,當時剛滿 24 歲的她,才工作了一年左右。從那天清晨開始,一種異樣感一直纏繞著她,她感覺自己變得不像自己。當她和一位同事分享這個感受時,同事笑著說,“我幾乎沒有感到過自己像自己。”
但現實并不是玩笑。漸漸的,卡哈蘭開始感覺左側身體麻木,這一側的胳膊和腿開始隱隱作痛。在精神和身體的雙重困擾下,她變得難以入睡,有時會一整夜失眠。就像所有被拉緊的弦都需要釋放一樣,在一個工作日上午,她的精神崩潰了——不過,在短暫的嚎啕大哭之后,她很快平靜了下來。只是她在內心深處開始懷疑自己是不是瘋了,或者患上精神疾病——是時候該去醫院檢查一下了。
經過一系列檢查和兩次核磁共振掃描后,醫生沒有找到任何原因,只是懷疑她可能有“單核細胞增多癥”,或是遭受了病毒感染,然后不了了之。與此同時,卡哈蘭的狀況卻急轉直下,在和男友一起看節目時,她癲癇發作并昏迷了——根據卡哈蘭的回憶,這是她最后關于疾病的記憶。
先是仍然沒有查出任何癥狀的 CT 掃描,隨后她開始出現被迫害妄想癥,她認為醫生們都要害她。又一次檢查中,醫生又推測一個病因:酒精戒斷反應,然而卡哈蘭幾乎不飲酒。隨之而來的是第二次癲癇發作,她的妄想癥、失眠、思維混亂也變得越發強烈。她開始對親人大發雷霆,攻擊性變得越來越強,并懷疑自己患上了躁郁癥。
之后,又是一次更嚴重的癲癇發作和住院治療。在醫院時,她會因一時發怒掌摑給她做檢查的護士,并在輸液時拔掉輸液管,尖叫著試圖從醫院逃跑。在住院的兩周時間內,每天都有各類醫生來給她診斷,她幾乎做了所有檢測,但依舊是查不出任何病因。
為了治療妄想癥,卡哈蘭服用了很多穩定精神癥狀的藥物(齊拉西酮)和抗焦慮藥物(勞拉西泮),雖然癥狀減輕,但她開始變得無法閱讀、說話困難,難以回答問題,吞咽也變得十分費力。一切似乎已經走到了懸崖的邊緣,但她的父母并不想把她送入精神病院,他們害怕將會徹底失去她。
好在奇跡出現了!他們遇到了被同事稱為“豪斯醫生”的神經科醫生蘇赫爾·納賈爾醫生(Dr. Souhel Najjar)。他也是紐約大學醫學中心的神經病理學家和癲癇病學家。納賈爾查看卡哈蘭的檢測報告后,發現兩次腰椎穿刺都顯示,她腦脊液中的白細胞計數過高,這說明她出現了腦腫脹。
隨后,這位醫生讓卡哈蘭在紙上畫一個鐘。雖然疑惑,但卡哈蘭還是照做了,而她畫出的鐘面讓所有人都倒吸一口涼氣——鐘面上所有數字都出現在鐘的右邊。根據這些線索和卡哈蘭的多種癥狀,納賈爾認為卡哈蘭(控制身體左側)的右腦出現了炎癥,具體是一種自身免疫性腦炎。或者說,她右腦中存在一種異常的、攻擊自身的抗體,引發了中樞炎癥。
康復,但更多的緩慢死亡
經過進一步的腦部手術活檢和抗體檢測后,卡哈蘭確診了抗 N-甲基-D-天冬氨酸受體(NMDAR)自身免疫性腦炎。這種疾病出現的原因至今未知,一些臨床推測是由病毒感染或外周腫瘤引起。實際上,在卡哈蘭確診兩年前,這種疾病才首次被描述,而卡哈蘭是第 217 位確診的患者。

卡哈蘭的住院照片和腦部的情況 圖片來源于iocdf.org
確診后,卡哈蘭很快接受了類固醇給藥、血漿置換和靜脈注射免疫球蛋白的聯合治療。她的病情慢慢好轉,最終她的認知和身體完全恢復了。相比于很多就算康復后仍有嚴重或者輕微認知障礙的人(占比大概是 45%),這也可以稱得上一個奇跡。
如果你從卡哈蘭經歷看出,這種病的出現似乎沒有征兆,可能主要威脅年輕人,那可以說你的直覺十分準確。據悉,這種疾病主要影響 20 至 30 多歲的人,在兒童和青少年中也不少見,而最小的患者只有 21 個月大。而根據一項納入 633 例患者的綜述性研究,該病的中位發病年齡為 22.6 歲。另外,這種疾病主要會威脅女性,男女的比例大約為 1:4。
結合 2022 年發布的一些病例報告,該疾病似乎會突然襲擊。比如,根據 《癲癇學報》(Acta Epileptologica)雜志上的病例報告,一位 11 歲女孩在劇烈運動后出現上腹部疼痛,緊接著是一系列癥狀,包括肌肉無力、暈厥、尿失禁、嘔吐,以及頭痛發作和煩躁不安等。最終她也確診了抗 NMDAR 腦炎。
另一個病例是一位 24 歲女性,她因為急性意識模糊而急診入院。隨著意識迅速惡化,她開始出現吞咽困難、呼吸衰竭和嚴重的心動過緩。入院第 23 天,她經由腦部磁共振成像檢測和腦脊液抗體檢測,確診了抗 NMDAR 腦炎。

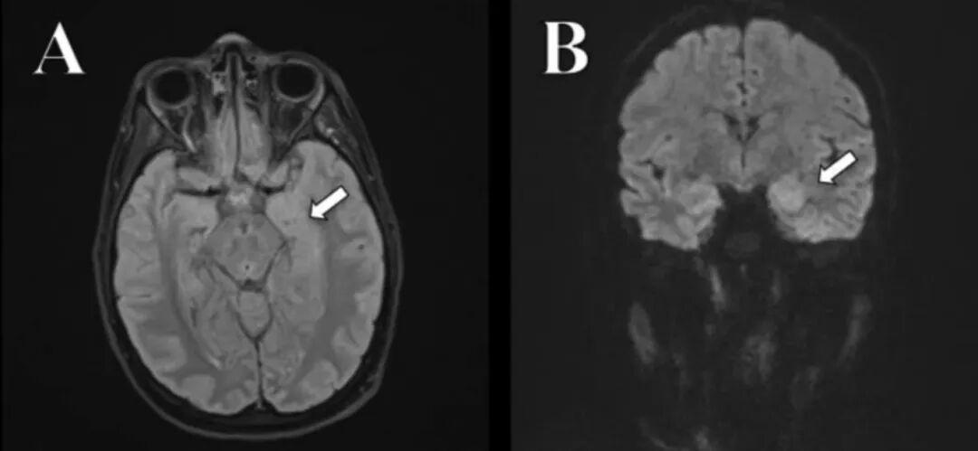
患者的海馬不對稱,出現了炎癥。圖片來源參考文獻
類似的病例還在陸續出現。但幸運的是,這種疾病仍然是一種罕見病,每年影響約百萬分之一的人。
不過這種疾病的治療和診斷,如今仍然不容樂觀。在 2009 年時,納賈爾曾估計當時大約有 90%這種疾病的患者并未確診,約 80%的患者會癲癇發作。其中許多人可能會被送進精神病院或者療養院,無法得到任何治療。
不過,隨著檢測技術的發展,檢測患者自身血清或腦脊液中的抗 NMDAR 的自身抗體,可以較高地提高診斷率。腦脊液檢測通常更敏感、更特異,也是這種疾病診斷的金標準。
但針對這些有害的自身抗體,開創出這種疾病的特效藥,并不是一件容易的事。2009 年時,卡哈蘭使用的三種療法,包括類固醇給藥、血漿置換和靜脈注射免疫球蛋白的聯合治療,當前依舊是一線的治療方法。而當它們失效時,患者就需要采用二線治療方案,包括利妥昔單抗和環磷酰胺。這兩種藥物均可以通過靶向B細胞來限制自身抗體的產生。
近年來,一些研究發現幾乎一半的病例都和腫瘤有關,特別是卵巢畸胎瘤。在治療時,及時切除腫瘤將能幫助患者改善癥狀,并降低這種疾病復發的風險。










